Belauneko artikulazioaren artrosia (gonartrosia) da kartilagoa meheagoa den gaixotasun endekapenezko gaixotasuna. Estatistiken arabera, planetaren bosgarren bizilagun guztiek patologia horretatik jasaten dute. Artikulu honetan artrosiaren kausa nagusiak, haren sintomak etapa bakoitzean, baita diagnostiko eta tratamendu metodoak ere kontuan hartuko ditu.
Kausak
Egunero, belauneko artikulazioek karga handia dute ibiltzean. Azken finean, gorputz osoaren masa jasan behar dute. Horren ondorioz, kartilagoen ehunen higadura pixkanaka dago, hau da, belaunetan aldaketa patologikoen kausa.
Arrisku taldeak jendea biltzen du:
- adinekoak,
- gehiegizko pisua jasaten du,
- Osteoporosia eta nahaste metabolikoak edukitzea,
- inoiz jaso dute belauneko batakoko lesioa,
- zenbait lanbide irudikatzea,
- mikroelementsaren gabezia pairatzen,
- kirol astunetan aritzen da.

40 urte bitarteko jende gehienetan, artrosiaren presentzia bigarren edo geroago garapen fasean aurki daiteke.
Sintoma nagusiak
Jakina, kartilagoen ehunen aldaketak ezin dira sintomarik egin gabe. Gaixotasun batekin, pertsona batek kexatu dezake:
- belaunetan ondoeza sentitzea, eserita dagoen lekuan esnatu edo luze iraun ondoren,
- Mina hanketan zutik egon ondoren,
- mendia igotzean eta eskaileretan igotzen denean erretzeko sentsazioa,
- Ahulezia hanketan karga txiki baten ondoren, baita egunaren amaieran ere.
- Gaixo batzuk gauez kezkatuta daude, lo egin bitartean.
Garrantzitsua! Gaixotasuna ez da zorrotz gertatzen, urte hauetan zehar garatzen da. Mina lehen faseetan hutsala izan daiteke, baina denborarekin hazkunde iraunkorra dago.
Belauneko artikulazioaren artrosia 1 gradu
Etapa honetan, gonartrosi garapenean hasi besterik ez da egiten, beraz, pertsona batengatik, prozesuak ia asintomatikoak egiten ditu. Hala ere, seinale batzuk oraindik ikus daitezke.
Pertsona batek askotan nekatzen hasten da hanketan nekea sentitzen, ohartu belauneko artikulazio baten mugikortasunaren beherakada txiki bat edo bi. Fenomeno hau bereziki ezaugarria da goizean, esnatu ondorengo lehen minutuetan.
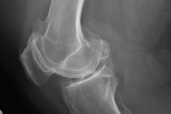
Orokorrean, etapa honetan gaixotasunaren diagnostikoa istripuz gertatzen da, x -Ray batean. Haren gainean, medikuak kartilagoan irregulartasun batzuk izan ditzake. Artikuluaren atalen artean lumena estutzea ere posible da.
Belauneko artikulazioaren artrosia 2 gradura
Belauneko artikulazioaren patologia nabarmenagoa da. Mina sindromearen itxura ezaugarria da, artikulazioan karga gehigarririk probokatuz.
Erreferentzia. Etapa honetan, mina modu independentean pasatzen da, atseden luze baten ondoren.
Gainera, bigarren etapan zehar, adibidez:
- Mugimendu jakin batzuekin. Bi belaunetan eta bi belaunetan antzeman daiteke. Crunch apenas nabaritzen da, baina pixkanaka pertsonaia zakarra, ozen eta oso bereizia eskuratzen du.
- Hanka belaunean erabat okertzeko gaitasuna murriztea. Batzuek 90 graduko izkin batera bakarrik egin dezakete hau, eta gero sentsazio desatsegina agertzen da, eta gelditzera behartuta daude.
- 2. faseko gonartrosi duten gaixo batzuk belauneko artikulazioa okertzen denean gertatzen den mina zorrotz baten itxura kexatzen hasten da.
- Belauneko artikulazioaren forma alda daiteke, zabalagoa bihurtzen da. Likido patologikoa pilatzea da.

Deserosotasuna belauneko eremuan hautematen bada, mediku bat kontsultatu behar duzu tratamendu egokia aginduta.
Belauneko artikulazioaren artrosia 3 gradu
- Etapa honetan, artikulazioen artikulazioan, egiturazko kartilago oso indartsuak ikusten dira. Tamaina handia duten hazkundeak bertan agertzen dira.
- Kaltetutako hankaren kurbadura nabaritzen da. 0 formako edo x itxurako bihurgune bat eskuratzen du, gaixoaren bizitza osorako oztopo larria bihurtzen dena. Ondorioz, pertsona ezinduen pertsona bihur daiteke.
- Gaixotasunaren 3. etaparen fenomeno bereizgarria mina larria da, etengabe ikus daitekeena, karga arina areagotu ondoren.
- Pertsona batek juntadurak eguraldiaren aldaketen sentsibilitatea nabaritzen du. Ziklona hurbiltzen ari dela, belauna min ematen du, sentsazioak sortzen dira bertan.

Adinarekin, juntura eguraldiaren eta presioaren aldaketei erantzuten hasten dira.
Belauneko artikulazioaren artrosia 4 graduko
Gaixotasunaren azken etapa muturrekoa da, hezurren arteko hutsunea erabat ez da.
Erreferentzia. Ortopedista gehienek laugarren etapa hirugarrenari egozten diote. Hau sintomak eta diagnostiko puntuala konplexutasunaren antzekotasuna da.
Hutsuneak ez izan ez delako, junturaren mugimendua ezinezkoa da.
Gainera, gaixoak jasanezina eta etengabea duen mina jasaten du, analgile larriek bakarrik aritzen dena. Baina tableta edo injekzioaren ekintza geldiarazten duen denbora igaro ondoren, sintoma desatsegina berriro agertzen da.
Diagnostikoak
Gaixoaren azterketa bat espezialista bati laguntzeko eskaerarekin hasten da. Terapeuta edo ortopedista izan daitezke.
Medikuak kexak entzuten ditu, anamnesis batek biltzen ditu, azterketa egiten du. Lehenik eta behin, artikulazioan kanpoko aldaketak interesatuko zaizkio, mugikortasunaren mugak bere eremuan.

X -Ray kartilagoan desbideratzeak identifikatzen lagunduko du.
Zundaketa egitean, gaixoak salaketa desatseginen itxura du eta belauneko kopa distira batekin, krisia entzuten da.
Garrantzitsua! Ezin da diagnostikoa medikuaren azterketa bisual baten ondoren, baita gaixotasunaren seinale guztien aurrean ere. Azterketa integrala bakarrik belaunean isurtzen den patologiaren inguruko erantzun zehatza emateko aukera ematen du.
Azterketaren ostean, medikuak gaixoaren erradiografia agintzen du. Hau da edozein graduko belauneko artikulazioaren artrosia diagnostikatzeko metodo nagusia.
X -Ray-k medikuak artikulazioaren kartilagoan gertatzen diren aldaketen ideia ematen dio. Hala ere, zenbait kasutan, hasierako etapa ezin da irudian zehaztu.
Beharrezkoa bada, medikuak X izpien edo erresonantzia magnetikoaren tomografia errepikatua eman dezake.
Tratu
Gonartrosia diagnostikatzerakoan, berehala tratamendua hasi behar da. Horrek patologiaren progresioa gelditzen lagunduko du, konplikazio ugari ekiditeko.
Gaixotasunaren terapiak hainbat helburu ditu aldi berean. Hots:
- Mina sindromea ezabatzea,
- gutxitu beste sintomen larritasuna,
- Artikuluaren kaltetutako kartilagiaren eta ligamenduen leheneratzea ahalik eta gehien
- Gorputzaren mugikortasunaren gehikuntza.
Gaixotasunaren tratamenduak honako metodoak biltzen ditu:
- Droga terapia,
- Masaje, osteopatia, eskuzko terapia,
- Esku-hartze kirurgikoa,
- hezkuntza fisikoa eta prebentiboa,
- Fisioterapia.
Droga zaintzea
Erreferentzia. Droga terapia gaixotasuna tratatzeko metodo nagusia da. Hala ere, arrakasta handiena da beste metodo batzuekin konbinatzen denean.
Gonartrosia tratatzeko erabiltzen diren drogak honako hauek dira:
- Flammoratorio ez-fullatorio ez - Gaixoa minik hartu, hantura arindu. Droga horiek agente sintomatikoak dira gaixotasunaren kausa eragin gabe. Bere adierazpenekin bakarrik borrokatzen dira, aldi baterako erliebea ekarriz.
- Chondroprotektoreak - Kartilagoen ehuna leheneratu. Hala ere, efektua ez da berehala nabaritzen. Drogek propietate metagarriak (metagarriak) dituzte, beraz, gorputzak denbora behar du efektu osorako.
- Droga hormonalak. Agindutakoa, normalean, gaixotasunaren fase aurreratuekin agindutakoak dira. Funts horiek azkar arindu dezakete juntaduraren inguruko ehunen hantura eta hantura. Droga klase honen desabantaila gorputzaren eragin sistemikoa da, eta horietan, nahi ez diren erreakzio kaltegarriak posible dira. Ikastaro bakarrean soilik agindutakoa da, prozesuaren areagotze batean.
- Kanpoko drogak, mina arintzeko diseinatua. Pomada, krema moduan kaleratu.
- Azido hialuronikoa. Gonartosi tratamenduan irtenbide berria da. Juntura elikatzen duen bitarteko baten sarrera inarraina da. Nahiko eraginkortasun handia du. Hala ere, metodoa bezalako gabeziak dira: gaixotasunaren hasierako faseetan eta drogaren kostu handia soilik erabiltzeko aukera.
Garrantzitsua! Drogak baterian jartzeko sartzea 7-10 egunetan ez da 1 denbora baino gehiago.
Masaje
Masajeak, baita eskuzko eta tratamendu osteopatikoa ere bideratuta daude:
- Mina ezabatzea,
- Mugimenduen zurruntasuna belaunetan gainditzea,
- Kartilagoen gunean odol hornidura hobetzea,
- hanturaren arloan mantenugaiak eta oxigenoa eskaintzea.
Erreferentzia. Masajeak eta antzeko prozedurak hezkuntza berezia duen pertsona batek bakarrik egin beharko luke. Bestela, artikulazioaren egoera kaltetu eta larriagotu dezakezu.
Esku-hartze kirurgikoa
Arrosiaren tratamenduan muturreko neurria da, gaixotasuna oso ahaztuta dagoenean eta terapia metodo batzuk botereak ez direnean. Gehienetan, endoprotetika erabiltzen da, eta bertan kaltetutako artikulazioa inplante baten bidez ordezkatzen da.
Protesiak bi motatakoak izan daitezke:
- Osoa - artikulazio osoa ordezkatzen da,
- Partziala - artikulazio artikulatuen zatirik jantziena soilik ordezkatuko da.
Protesioetarako kontraindikazioak hauek dira:
- Infekzio purulente kronikoak;
- nahaste neuromuskularrak;
- zain patologiak;
- Gaixotasun kardiobaskularrak.
Beste aukera bat osteotomia zuzentzea da. Metodo honekin plaka bat txertatzen da artikulazioan, belauneko kaltetutako eremuan presioa murriztuz.
Ariketa Terapia
Baterako eta mugikortasuna berreskuratzera zuzendutako ariketa fisiko ugari ezartzea da.
Prozedura hau etxean modu independentean egin daiteke, aurretik aholkularitza espezialista batekin harremanetan jarri ondoren.
Aurrezaintza
Arau sinpleen ondoren kartilagoaren suntsipena gertatzea edo areagotzea saihestuko da. Horretarako behar duzu:
- Dieta jarraitu. Horrek gorputzaren pisuaren kontrolari lagunduko dio, gorputzari beharrezko bitamina eta mineral guztiekin eman.
- Zenbait kirolari atxikita, beste batzuk alde batera utziz. Kontua da gonartrosiarekin, belaunetan gehiegizko kargak oso nahigabeak direla. Hori dela eta, korrika eta jauzia hobe da bizikletaz ibiltzea, igeriketa edo aquaerobik ordezkatzea.
- Ariketa terapeutikoak aldizka egiten ditu.
- Oinetako erosoak eta ortopedikoki zuzenak eramatea. Onartezina da zurtoinak eta takoi altuak eramatea, solairu laua, orpo txiki batekin oinetakoei lehentasuna emanez.
Belauneko artikulazioaren artrosia nahiko oharkabean pasatu daitekeen gaixotasun arrunta da. Hasieratik asintomatikoa izan arren, gonartrosiak konplikazio larriak sor ditzake, ezgaitasuna lortzeko. Hori dela eta, hain garrantzitsua da diagnostikoak denboran egitea eta beharrezko tratamendua hastea.


















































